TEETH CORRECTION AND RECONSTRUCTION
Correction of position, shape, color and reconstruction of teeth after accidents with the help of composite materials or stomato-prosthetic reconstructions:
– ceramic veneers (veneers) – correction of frontal surfaces of teeth
– highly aesthetic dental crownsmilled with the CAD/CAM technology
– zhotovenie ceramic inlay, onlay and overlay

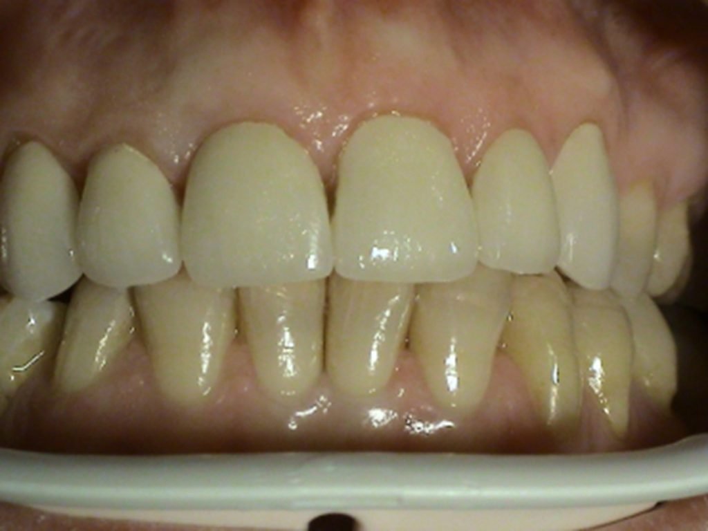
Composite reconstructions

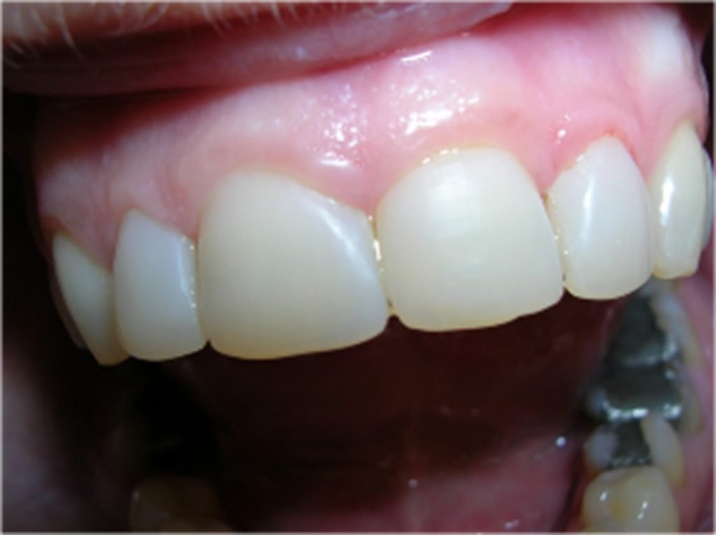
Reconstruction with ceramic veneers
SPLINTING OF TEETH
Immediate replacement of a missing tooth with direct modelling with the use of a composite material on a glass fiber or preparation in dental lab.

Usage of composite material

Adhesive bridges
TEETH WHITENING
Home cleaning – Opalescence tooth whitening systems
Ambulant treatment – WHITEsmile