SERVICES
– Application of enosteal dental implants from companies:Tiolox, Tiologic, Nobel, Astra, Martikáň, Vni, Blade Implantáty
– Immediate and delayed loaded implants and post-implant prosthetic treatment
Hyperbaric chamber , navigated implantology
– „Teeth in a day“ – implantation and provisional prosthetics for a day
– „all on four“ „all on six“ – methodology for implant treatment teethless maxilla and mandible
– Different types of augmentations application of own or foreign materials in order to adjust the mandibulla and jaw
– Sinus lift
– Application of mini implants in case of jaw orthopaedic indication
DENTAL IMPLANTS
Dental implantology enables patients to replace the loss of one or all of their teeth by dental implants. Dental implant inserted into the bone of upper and lower jaw is an artificial replacement of the entire tooth and root. This support inserted into the bone provides high retention and stability of the future prosthesis.
Dental implants usually have cylindrical or slightly conical shape. Majority of them is made of titanium with different surface treatments for better and faster healing. After its healing (so-called osteointegration), which takes approximately 3 - 4 months, a step towards final prosthetic treatment is made.
Implantation requires sufficient amount and quality bone in the jawbone. In case of significant bone absence, its reconstruction is also one of the possible ways. In order to to do so, not only is the patient´s own bone but also the artificial bone (augmentation). Our surgeon performs sinus lifting operations as well.
The base for success is perfect diagnostics - the overall examination of the patient. This includes an assessment of density and quality of jaw bones bones before the implantation itself. It is also important to plan the whole surgery and to provide the patient with all information!
BENEFITS:
– Stability and immobilization of prosthesis (in case of appropriate amount of implants)
– Positive aesthetic effect on the facial expression, winsome and new smile provides better quality of life and renewal of self – confidence not only in private life but also on social and professional level
– Stable teeth have positive effect on pronounciation, perception of tastes, mastication and digestion

Replacements of individual teeth
Implantation & prosthetics – „all in one“
1. PHASE - implant placement

2. PHASE - before taking prints

3. PHASE - temporal crown before final implant

Prosthetic treatment in a toothless jawbone carried - 5 implants
1. PHASE - implant placement

2. PHASE - state before the provisional solution was made
3. PHASE - making a temporary solution
4.PHASE - implant placement
Prosthetic treatment in a toothless jawbone carried - 4 implants




Implantation solution of the posterior toothless sections in the jaw



Solution of frontal defect in the jaw



Solution of frontal defect in the jaw in a jaw orthopedic anomaly




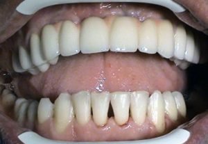
Implantation solution of complete toothlessness in the jaw



Bicortical implants



Implantation solutions for orthodontic defects


Prosthetic solutions of complicated bite conditions













